GENETIKA

Replikace DNA


Transkripce


Sestřih


Translace


Replikace, transkripce, translace, proteosyntéza


Autosomálně recesivní typ


 

Autosomálně dominantní typ


 

Gonozomálně recesivní typ


 

Gonozomálně dominantní typ


 
Mitochondrální typ
 

Y-vázaná dědičnost


 

Hemofilie u anglického rodu


 

Downův syndrom


 

Edwardsův syndrom


 

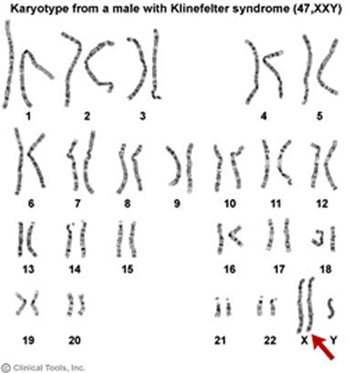
Klinefelterův syndrom


 

Patauův syndrom


 

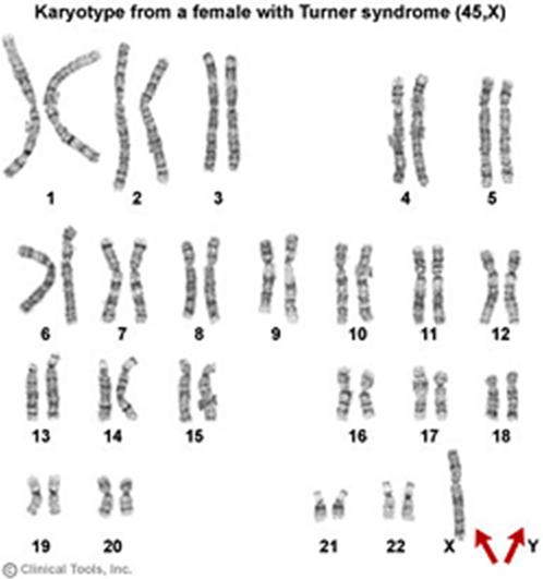
Turnerův syndrom